안녕하세요.
서울아산OK치과 이남헌 원장입니다.
오늘은
“왼쪽 어금니가 아파서 왔어요”
라는 한마디로 시작했지만,
치아 전체의 흐름을 다시 살펴보게 된 한 환자분의 이야기를 나눠보려 합니다.
왼쪽 어금니 통증, 그 불편함부터 공감하며


60대 남성 환자분이셨습니다.
특별한 전신 질환도 없고, 평소 큰 문제 없이 지내시다가
예전에 씌워둔 왼쪽 어금니가 아파서 병원을 찾으셨습니다.
“원장님, 왼쪽이 계속 쑤셔요.”
통증은 늘 그렇게 시작합니다.
한 군데.
딱 집어 말할 수 있는 불편함 하나로요.
진짜 원인은 한 치아가 아닌, 잇몸 전체의 상태였습니다

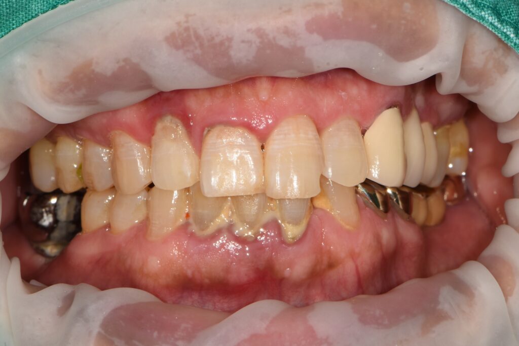
파노라마 촬영과 구내 사진으로 전체를 살펴보았습니다.
그 결과는 조금 달랐습니다.
문제는 특정 치아 하나가 아니라,
전반적인 잇몸 상태였습니다.
치조골이 전반적으로 낮아져 있는
수평적 골 소실이 동반된
만성 복합 치주염 소견이 확인되었습니다.
즉,
아픈 치아 하나만 고친다고 끝나는 상황이 아니었습니다.
잇몸이라는 ‘바탕’이 흔들리고 있었고,
이 상태로는 어떤 치료도 오래가기 어렵다고 판단했습니다.

치아·신경·잇몸을 나누어 차분히 진단했습니다
진단은 항상 분리해서 봅니다.
그래야 방향이 명확해집니다.
오래된 보철물 아래에서는
경계 불량과 2차 우식이 의심되었고,
하악 소구치 일부는
신경이 회복되지 않는 상태로
신경치료가 필요한 상황이었습니다.
또한,
이미 잇몸 지지가 많이 약해진 치아는
살리는 것보다 정리하는 것이 맞는 치아도 함께 존재했습니다.
그래서 이 환자분의 치료는
“한 번에”가 아니라
“단계적으로” 설계되었습니다.
치료는 순서가 중요합니다
정리하고, 살리고, 기반을 만들고, 대체합니다
첫 번째는 잇몸부터 안정시키는 과정이었습니다.
치석 제거와 치주 치료를 통해
잇몸 속 염증을 가라앉히고,
치아를 지탱하는 환경을 먼저 정리했습니다.
잇몸이 흔들리면
임플란트도, 크라운도
결국 오래 버티지 못하기 때문입니다.

두 번째는 살릴 수 있는 치아는 끝까지 살리는 것입니다.
보철물을 제거한 뒤
상태가 확인된 치아는
정석적인 신경치료 과정을 거쳐
통증의 근본 원인을 제거했습니다.

세 번째는 치아의 높이를 다시 만들어주는 과정입니다.
잇몸 아래까지 내려간 충치나 경계는
그대로 덮어버리면
염증이 반복될 수밖에 없습니다.
그래서 잇몸 수술을 통해
보철이 안정적으로 자리 잡을 수 있는
공간과 높이를 다시 확보했습니다.

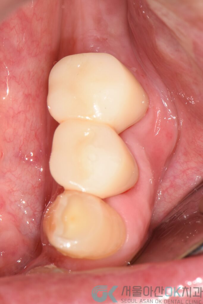
마지막은, 더 이상 버티기 힘든 치아를 대신하는 선택입니다.
예후가 좋지 않은 치아는
깔끔하게 발치하고,
그 자리는 임플란트로 단계적으로 회복했습니다.
골 상태에 따라
충분한 치유 시간을 확보하고,
안정성이 확인된 후에
최종 보철까지 마무리했습니다.
한 개의 통증은, 여러 문제의 신호일 수 있습니다
이 환자분처럼
“치아 하나가 아파서” 오셨다가
전체 치료로 이어지는 경우는
생각보다 정말 많습니다.
치과에 대한 두려움 때문에
정기 검진을 미루다 보면,
통증은 어느 날 갑자기 신호처럼 나타납니다.
그때는 이미
한 가지 문제가 아닌 경우가 많습니다.
조금 더 일찍,
아프지 않을 때 한 번만 점검했더라면
치료는 훨씬 가벼웠을지도 모릅니다.
지금 이 글을 읽고 계신 분이라면,
통증이 생기기 전에
한 번쯤 치아와 잇몸의 상태를
천천히 살펴보셔도 좋겠습니다.




