하남미사치과 임플란트, 뼈이식 권유 과잉진료일까요? <서울아산OK 대표원장 작성>

안녕하세요.
서울아산OK치과 대표원장 이남헌 입니다.

하남미사치과 임플란트 상담을 위해 내원하시는 분들 중, 이런 질문을 정말 많이 받습니다.

“뼈이식이 꼭 필요한가요? 비용도 추가된다던데, 정말 필요한 건지 모르겠어요.”

이 걱정, 당연한 겁니다. 뼈이식은 임플란트 외에 추가로 발생하는 항목이고, 눈에 직접 보이지 않는 치료다 보니 스스로 판단하기 쉽지 않으시죠.

오늘 글을 끝까지 읽어보시면 두 가지를 직접 판단하실 수 있습니다.

  • 뼈이식 권유가 과잉진료인지 아닌지
  • 내 상태에 뼈이식이 실제로 필요한지

하남미사치과 임플란트, 뼈이식 권유 과잉진료일까요? <서울아산OK 대표원장 작성> 2

뼈이식이란 무엇인가요?

많은 분들이 뼈를 그대로 옮겨 심는 시술이라고 생각하시지만, 실제로는 내 뼈가 스스로 차오를 수 있도록 유도 물질을 넣는 과정입니다.

쉽게 비유하면, 지반이 약한 곳에 건물을 올리면 오래 버티지 못합니다. 공사 전 기초부터 단단히 다져야 하는 것처럼, 잇몸뼈가 부족한 분께는 임플란트를 심기 전 뼈가 자리 잡을 수 있도록 준비하는 과정이 먼저 필요합니다.

하남미사치과 임플란트, 뼈이식 권유 과잉진료일까요? <서울아산OK 대표원장 작성> 3

뼈이식이 꼭 필요한 경우

발치 후 오랜 시간이 지난 경우

치아를 뽑은 뒤 오래 방치하면 상악동이 점점 아래로 내려오면서 잇몸뼈 높이가 줄어들게 됩니다. 이런 경우 상악동 거상술 + 뼈이식으로 공간과 뼈를 먼저 확보해야 할 수 있습니다.

하남미사치과 임플란트, 뼈이식 권유 과잉진료일까요? <서울아산OK 대표원장 작성> 4

잇몸병으로 뼈가 녹은 경우

잇몸병이 진행되면 주변 뼈가 서서히 소실됩니다. 뼈가 부족한 상태에서는 임플란트를 바로 심기 어렵기 때문에, 상악동 거상술과 뼈이식으로 충분한 뼈를 먼저 만든 뒤 식립하게 됩니다.

※ 모든 치료와 수술은 개인에 따라 부작용이 발생할 수 있습니다. 치료 진행 전 반드시 담당 의료진과 충분히 상담하시길 바랍니다.

하남미사치과 임플란트, 뼈이식 권유 과잉진료일까요? <서울아산OK 대표원장 작성> 5

실제 치료 과정 공개

이해를 돕기 위해 실제 케이스를 공개드립니다. (환자 동의 하에 게시)

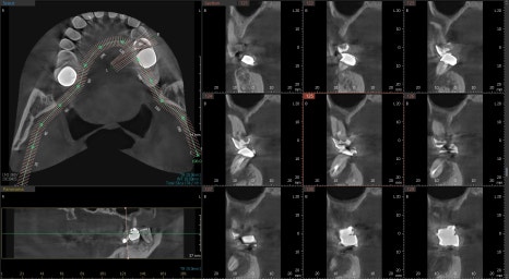
초진 및 진단

23.04.25 — 치료 전

CT와 파노라마 분석 결과, 치아 뿌리 끝에 염증이 생긴 상태였고 잇몸뼈까지 녹아내리는 만성 복합치주염이 함께 진행되고 있었습니다. 남은 뼈와 잇몸을 지키기 위해 발치를 먼저 진행했습니다.

하남미사치과 임플란트, 뼈이식 권유 과잉진료일까요? <서울아산OK 대표원장 작성> 7

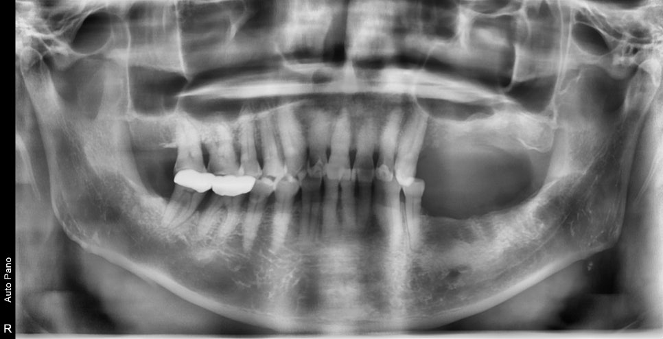
상악동 거상술 및 뼈이식

23.08.25 — 상악동 거상술 전 / 23.11.10 — 시술 후

발치 후 6개월 뒤 내원 시 안쪽 뼈 상태가 좋지 않아 뼈이식과 상악동 거상술이 모두 필요한 상황이었습니다. CT 화면을 직접 보여드리며 근거를 설명드린 뒤, 위쪽을 먼저 진행했습니다.

하남미사치과 임플란트, 뼈이식 권유 과잉진료일까요? <서울아산OK 대표원장 작성> 8

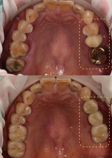
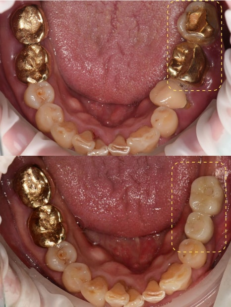
순차적 임플란트 식립

23.12.15 — 아래 임플란트 식립 / 24.09.04 — 치료 완료

위 회복 확인 후 아래를 순차적으로 진행했습니다. 빠르게 끝내는 것보다 각 단계마다 회복을 확인하며 진행하는 방식을 택했습니다. 총 치료기간은 약 1년 4개월이었습니다.

하남미사치과 임플란트, 뼈이식 권유 과잉진료일까요? <서울아산OK 대표원장 작성> 9

저희는 뼈이식이 필요한 경우에만 “이 부분 뼈 높이가 부족하여 뼈이식이 필요합니다”라고 말씀드립니다.
필요하지 않으면 “현재 뼈 상태에서 바로 진행 가능합니다”라고 안내드립니다.

하남미사치과 임플란트, 뼈이식 권유 과잉진료일까요? <서울아산OK 대표원장 작성> 10

근거 없이 권유하지 않습니다. 확인된 것만 말씀드립니다.

※ 치료 결과는 개인의 구강 상태에 따라 달라질 수 있습니다.

하남미사치과 임플란트, 뼈이식 권유 과잉진료일까요? <서울아산OK 대표원장 작성> 11


※ 수술 부위 출혈·부종·통증·감각 이상, 임플란트 주위염, 골유착 실패로 인한 재수술, 보철물 파절 또는 탈락, 잇몸 퇴축 등의 부작용이 발생할 수 있습니다.
※ 전·후 사진은 동일인, 동일 장소, 동일 각도·조명 조건에서 촬영되었습니다.

하남미사치과 임플란트, 뼈이식 권유 과잉진료일까요? <서울아산OK 대표원장 작성> 12

치과를 선택할 때 꼭 확인하세요

임플란트는 심는 것보다 오래 유지되는 것이 더 중요합니다.

3D CT를 통해 신경 위치, 뼈의 두께와 밀도, 상악동과의 거리까지 종합 분석한 뒤, 어느 각도로 얼마나 깊이 심을지 미리 설계하고 진행합니다. 특히 뼈이식과 상악동 거상술이 필요한 복잡한 케이스일수록 이 설계 과정이 더욱 중요합니다.

23.04.25 (치료전)- 24.09.04 (치료후)

  • 정확한 진단을 바탕으로 치료를 진행하는 곳인지
  • 뼈 상태에 따라 꼭 필요한 치료만 계획하는 곳인지

자주 묻는 질문 (FAQ)

*아래 FAQ는 실제 상담에서 가장 많이 받는 질문들을 정리한 내용입니다. 치주과 전문의가 직접 답변합니다.

Q: 뼈이식을 하면 임플란트 치료기간이 얼마나 늘어나나요?

A: 뼈이식 후 뼈가 충분히 형성되기까지 보통 4~6개월의 회복 기간이 추가됩니다. 상악동 거상술이 동반되는 경우 더 길어질 수 있으며, 위아래를 순차적으로 진행할 때는 전체 기간이 1년 이상 소요되기도 합니다. 빠른 진행보다 각 단계의 회복을 확인하는 것이 장기적으로 더 안전합니다.

Q. 뼈이식 없이 임플란트를 심으면 어떻게 되나요?

A. 뼈가 부족한 상태에서 임플란트를 심으면 골유착(임플란트와 뼈의 결합)이 제대로 이루어지지 않아 임플란트가 흔들리거나 탈락할 위험이 높습니다. 또한 주변 잇몸과 뼈에 지속적인 손상이 생겨 재수술이 필요해질 수 있습니다. 뼈이식은 비용을 줄이는 것이 아니라, 임플란트를 오래 유지하기 위한 필수 기반 작업입니다.

Q. 상악동 거상술은 위험하지 않나요?

A. 상악동 거상술은 숙련된 치주과 전문의가 진행하면 안전하게 시행 가능한 술식입니다. 다만 상악동 막 천공, 감염, 출혈 등의 부작용이 발생할 수 있어 3D CT를 통한 정밀한 사전 분석과 계획이 반드시 필요합니다. 개인의 해부학적 구조에 따라 방법이 달라지므로, 전문의와의 충분한 상담을 권장합니다.

Q. 뼈이식 재료는 어떤 것을 사용하나요?

A. 크게 자가골(본인 뼈), 동종골(인체 유래), 이종골(동물 유래), 합성골 네 가지로 나뉩니다. 각 재료는 골유도 능력과 흡수 속도가 다르며, 환자의 뼈 상태와 결손 범위에 따라 단독 또는 혼합하여 사용하게 됩니다. 어떤 재료가 사용되는지 반드시 담당 의료진에게 미리 확인하시길 권장합니다.

Q. 치주과 전문의에게 임플란트를 받아야 하는 이유가 있나요?

A. 치주과 전문의는 잇몸뼈와 치주 조직을 전문적으로 다루는 전문의입니다. 일반 임플란트 식립뿐 아니라 뼈이식·상악동 거상술 등 복잡한 케이스를 체계적으로 계획하고 시행하는 데 특화되어 있습니다. 뼈 부족이 동반된 임플란트일수록 치주과 전문의의 경험과 판단이 결과에 큰 영향을 미칩니다.


마무리하며

오늘 글이 하남미사에서 임플란트를 고민하시는 분들께 조금이나마 도움이 되었으면 합니다.

서울아산OK치과 대표원장 드림

You cannot copy content of this page