“발치는 했고… 이제 임플란트 진단을 원해요”
안녕하세요. 서울아산OK치과 이남헌원장입니다.
오늘의 사례는 평소 복용하는 약이 있는 상태로 진행하는 임플란트 사례인데요.
환자의 상태를 더 자세히 말씀드리자면,
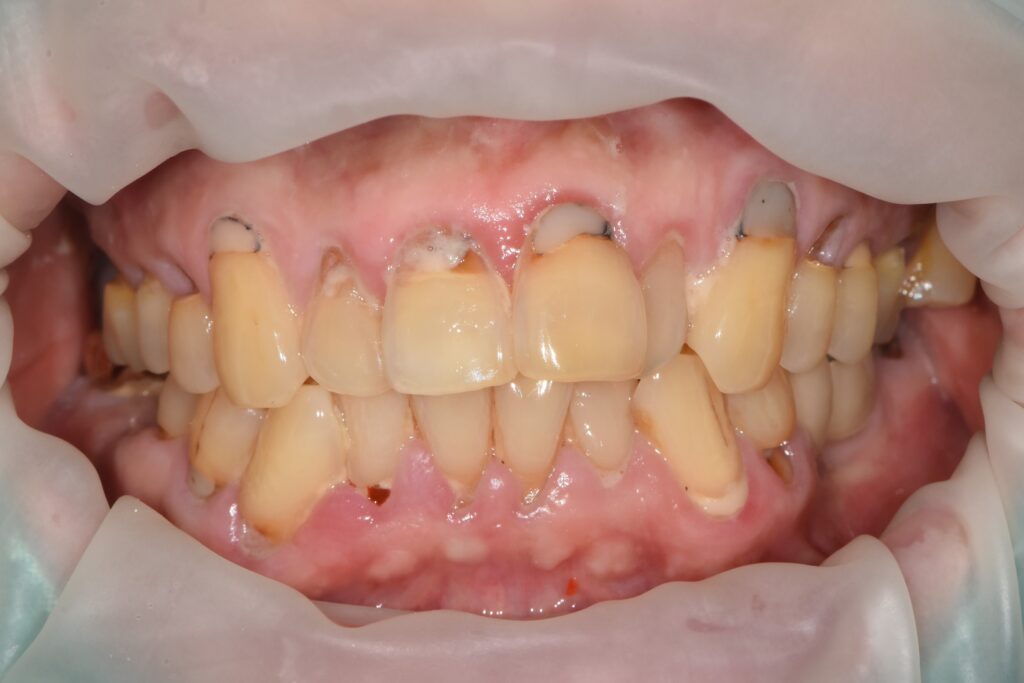
내원한 환자(고령 남성)는
이미 하악 우측 제1대구치(#46) 발치가 완료된 상태에서
“임플란트를 하고 싶다”는 주된 요구로 방문했습니다.
다만 진료 전 확인한 전신 병력에서
고혈압·고지혈증·항부정맥약 복용, 그리고
무엇보다 항응고제(혈전용해제) 복용 중이었고,
항생제(오구멘틴) 부작용 및 진통제(록소/이부프로펜) 계열 부작용도 기록돼 있어
수술 계획을 더 신중히 세워야 했습니다.
또한 파노라마 평가에서
전반적인 만성 치주염(수평적 골 소실) 소견이 함께 확인되어,
“임플란트만 심으면 끝”이 아니라 잇몸 컨디션을 안정화하면서 임플란트를 진행하는 장기 플랜이 필요했습니다.
진단 및 검사: 파노라마·교익·CT 기반으로 “심을 수 있는 자리”를 확인


초진 시에는
파노라마 촬영: 전악 치주 상태(골 소실 양상) 확인
교익 촬영: 인접면 우식 여부 확인
임플란트 진단(CT Taking 메모): #46 부위의 골량/골폭, 식립 가능 위치 확인
을 통해 “어디까지 뼈가 남아 있고, 뼈이식이 필요한지”를 먼저 판단했습니다.
핵심은 #46 부위가 단순 결손이 아니라,
기존 치주 상태와 골 소실이 동반되어 식립과 동시에 간단 GBR(골유도재생술)이 필요하다는 점이었습니다.
치료 단계별 과정


하치조신경 전달마취 하에 #37 난발치를 시행하였습니다.
치아는 골 유착으로 인해 단순 발치가 어려워 BURR를 이용한 치근 분할 후 발치를 진행하였으며,
발치 후 봉합(suture)까지 시행하였습니다.
1) #46 임플란트 1차 수술 + GBR(간단)


수술 당일에는 동의서 작성 후, 국소마취(침윤) 하에
오스템 SSIII 계열 임플란트(직경 5.0, 길이 10mm)를 식립했습니다.
- 골질: D2
- 초기고정: 약 40N
- 동종골 기반 GBR(간단) 동반
- 보철 계획: 약 3개월 후 보철 진행
즉, “뼈가 아주 넉넉해서 그냥 심는 케이스”가 아니라,
부족한 부위를 보강해 안정적인 골유착 환경을 만드는 방식으로 접근했습니다.
2) 수술 후 드레싱 및 발사(실밥 제거)
수술 다음날 드레싱 후, 약 1~2주 사이 발사(S/O)를 진행했습니다.
이 시기에 환자분은 치주 상태가 전반적으로 좋지 않아,
임플란트 부위만 보는 것이 아니라 치석 제거·치주 소파술·치근활택술을 여러 차례 병행하며 잇몸 염증을 관리했습니다.
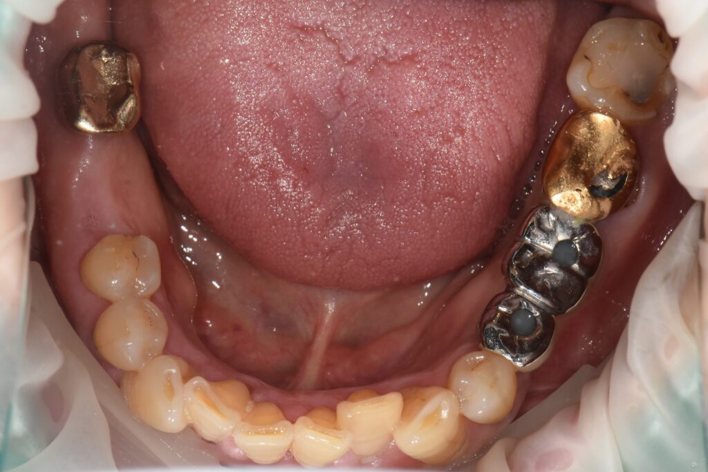
3) 골유착 평가(ISQ) → 인상 → 보철 장착(SCRP)
약 3개월 경과 후,
ISQ 측정: 83/84로 매우 안정적인 수치를 확인하고
픽업 인상 및 커스텀 어버트먼트/지르코니아 크라운 제작 의뢰 후
최종적으로 스크류 고정 방식(SCRP)으로 보철 장착, 교합 조정 및 홀 sealing을 단계적으로 마무리했습니다.
이 과정을 통해 “심는 것”에서 끝나는 게 아니라
(1) 잘 붙었는지 수치로 확인 → (2) 정확한 인상 → (3) 교합까지
정리된 최종 보철까지 이어지는 표준 루틴을 안정적으로 밟았습니다.
결과 및 회복: “임플란트는 성공, 관건은 잇몸 관리”

초기고정 양호
ISQ 수치 우수(83/84)
보철 장착 후 1개월/3개월/6개월 정기 체크로 이어짐
으로 기능 회복이 잘 진행된 케이스였습니다.
다만 이 환자분은 기본적으로 만성 치주염으로 인한 전반적인 치석/염증 재발 성향이 반복적으로 기록되어,
정기 내원 시마다 “잇몸이 다시 붓고 피가 난다”는 흐름이 나타났습니다.
실제로 이후에도 스케일링 주기를 3개월 간격으로 더 촘촘히 권유받는 상황이 이어졌습니다.
1) 복용하고 있는 약
2) 지병
3) 나이별
등에 따라 임플란트 난이도가 달라질 수 있으며, 해당 사례분의 경우 좀 더 각별한 관리가 필요합니다.
다양한 원인에 의해 유지력이 떨어질 수 있어,
수술이 끝난 후에도 해당 환자분의 경우 정기적인 검진을 권장하였으며
현재 진행형으로 지금도 해당 환자분의 치아 관리를 진행하고 있습니다.
저희 서울아산OK치과는 수술 끝, 무조건 빠른 치료를 권장하지 않습니다.
한 번 선택한 임플란트 처음부터 끝까지 오래도록 사용할 수 있도록
1:1 맞춤 진단 및 치료를 진행하고 있으니 상담이 필요하신분들은 편하게 상담요청해주세요.
감사합니다.




